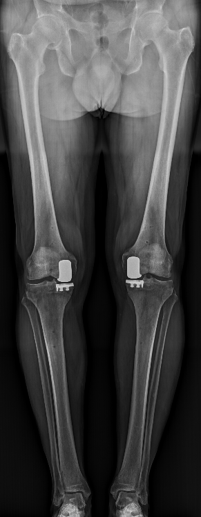
La PUC est indiquée en cas d’arthrose fémoro-tibiale interne / externe localisée ou d’atteinte femoro-patellaire isolée. Cette chirurgie peut être nécessaire en cas de douleur, d’impotence fonctionnelle et en cas d’échec du traitement médical. Le traitement médical associe des règles Hygiéno-Diététiques, avec, selon les cas : une rééducation spécifique, des antalgiques, des anti-inflammatoires, des infiltrations intra articulaires.





