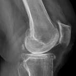
La prothèse totale de genou (PTG) est indiquée en cas d’arthrose fémoro-tibiale ou femoro-patellaire évoluée au niveau du genou.
La prothèse totale de genou (PTG) est indiquée en cas d’arthrose fémoro-tibiale ou femoro-patellaire évoluée au niveau du genou.
Cette chirurgie peut être nécessaire en cas de douleur, d’impotence fonctionnelle et échec du traitement médical. Le traitement médical associe des règles Hygiéno-Diététiques, avec, selon les cas : une rééducation spécifique, des antalgiques, des anti-inflammatoires, des infiltrations intra articulaires.
La prothèse totale de genou vise à remplacer l’articulation du genou. Elle est composée d’une pièce fémorale et tibiale métalliques mises en place sur le fémur distal et dans le tibia proximal.
Une pièce intermédiaire en polyéthylène est interposée entre les composants fémoraux et tibiaux.
En fonction des cas, la surface articulaire rotulienne peut être remplacée ou non par un implant en polyéthylène.
La fixation des implants peut se faire soit avec du ciment chirurgical soit à l’aide d’un traitement de surface prothétique favorisant la repousse osseuse.
Le choix du type de fixation est dépendant des habitudes du chirurgien, du type d’implant et de la qualité osseuse.